こんにちは、ちだ歯科クリニックの西山です(*^_^*)
だんだん暖かい日が増えてきましたね!
ニュースによると札幌は27~30日頃桜が咲くみたいですね。
去年は函館の五稜郭公園に行けたので、
今年も綺麗な場所でお花見できればいいなぁと思っています(^.^)♪
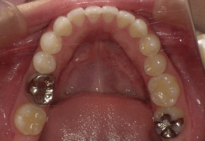
さて、話は変わりますが、最近歯の被せ物を銀色の物から白い物に治してもらいました!
銀歯を入れた当時は、下の歯だからいいかなと思っていましたが
笑った時に大きいお口を開けると見えてしまい・・(>_<)
何年も気になっていて思い切って治してもらう事にしました!!
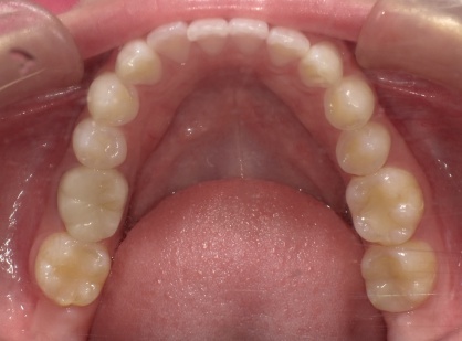
ビフォーアフターがこちらです!
↓
一見、どの歯が被せ物か分からないくらい自然ですよね(゜o゜)
実際に友人やスタッフにもすごく綺麗で全然分からないね!
と言っていただけました(*^_^*)
こちらはe-max(セラミック)という種類の被せ物で、
保険適応外にはなりますが歯肉に優しく金属アレルギーの方でも
使用できる材質になっています。
ちだ歯科には技工士さんがいて、歯の形や色を忠実に再現してくれるので
とっても綺麗な被せ物を作ってくれます(●^o^●)
私が銀色の被せ物が長年の悩みだったので、
綺麗に治してもらって本当によかったなぁと思っています(^^)
銀色の被せ物が見えて気になる・・という方はきっと患者さんの中にも
たくさんいらっしゃると思うので興味のある方は是非スタッフに声をかけてみて下さい!
種類や料金、利点などスタッフから詳しくお話します!

